Histology

A closer look at the new bone formation

Prof. Claudia Dellavia · Italy
 · Prof. Claudia Dellavia · Italy
 · January 04, 2021

A 50:50 mix of autologous bone and Geistlich Bio-Oss® granules was grafted on human atrophic alveolar crests, stabilized with Yxoss CBR®, fixed with titanium micro-screws and covered with Geistlich Bio-Gide®.

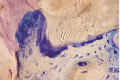
After nine months, histological analysis showed highly mineralized and well-organized new bone (Fig. 1) with dense osteoid matrix, mainly located in the coronal portion (Fig. 2). Geistlich Bio-Oss® remnants were perfectly osseointegrated and surrounded by marrow spaces populated by numerous blood vessels without inflammatory infiltrates (Fig. 3). Many fronts of bone remodelling rich in osteoblasts depositing new matrix (Fig. 4) and osteoclasts in a resorption lacuna (Fig. 5) confirmed the vitality of the regenerated bone.
 

Toluidine Blue and Pyronin Yellow staining of one representative sample. Osteoid and cells (blue), tissue in phase of mineralization (purple), Geistlich Bio-Oss® and highly mineralized bone (brown).

About the authors

Prof. Claudia Dellavia | Italy

Department of Biomedical, Surgical and Dental Sciences
University of Milan

Prof. Claudia Dellavia | Italy

Department of Biomedical, Surgical and Dental Sciences
University of Milan