Periodontal Regeneration with Geistlich Bio-Oss® and REGENFAST®

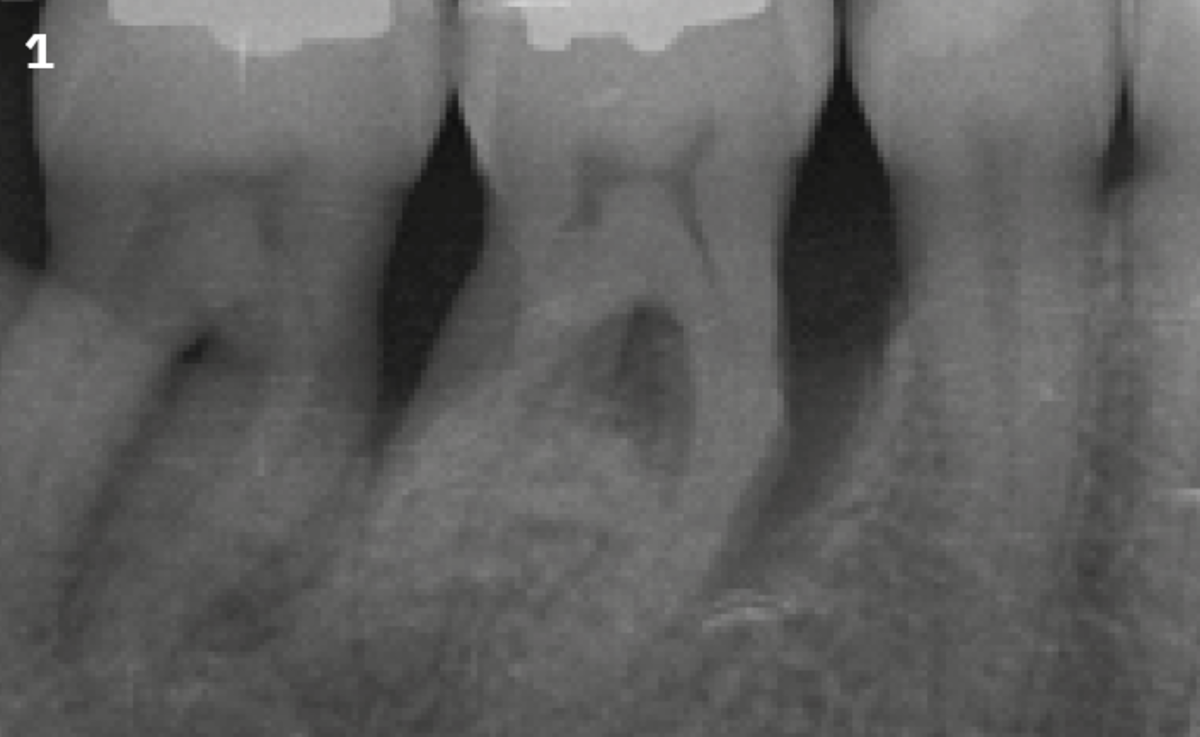
Treatment of an infrabony defect in the distal mandible

Dr. Roberto Abundo · Italy
 · July 25, 2023

"I used REGENFAST® in addition to Geistlich Bio-Oss® because I think, in the healing of Guided Tissue Regeneration procedures, the principle “the sooner, the better” is effective for achieving optimal results."

The Situation

A patient with stage 3, grade C periodontitis was treated. After completion of non-surgical anti-infective therapy there was a residual deep infrabony pocket on tooth 46. Guided Tissue Regeneration with Geistlich Bio-Oss® and REGENFAST® was performed with an excellent outcome.

About the author

Dr. Roberto Abundo | Italy

Department of Periodontology, Private Practice, Torino, Italy