Crestal sinus lift with Geistlich Bio-Oss Collagen

“The key advantage of this technique is its simplicity”

Dr. Marjan Gilani · Switzerland
 · November 23, 2020

Dr. Francisco Delille has placed more than 100 immediate implants in the posterior maxilla with simultaneous crestal sinus floor elevation – and is convinced of his approach. We discussed with him about predictability, surgery time, and complication rate.

Dr. Delille, can you explain the surgical protocol you use for immediate implant placement and sinus floor elevation? 

The surgical protocol is very simple and predictable. It begins with the usual implant drilling until we reach the cortical bone plate on the sinus floor. We open the cortical bone plate with a round Piezo surgical instrument to expose the same diameter of the Schneiderian membrane as the implant preparation. After this, we divide a Geistlich Bio-Oss® Collagen 100 mg block into smaller blocks. The blocks are carefully introduced into the implant site one by one and compressed with the thread. This is ideal for applying force to the Schneiderian membrane without risk of injury. After placing the graft material, we can confirm the resistance of the membrane. Then the implant is inserted into the bone and into the graft material.
 

Why do you perform a crestal instead of a lateral window approach with Geistlich Bio-Oss® Collagen?

Because it allows us to efficiently augment the site in a safe way, using less graft materials, and with very predictable clinical results.
 

What is the minimum amount of residual bone and which role does the implant play for the stability of the augmented area?

We need at least a residual bone height of 4 mm, and width of 6 mm, to place a 4 mm diameter implant. Also, the quality of bone between the bone plates must be good. Bone height and quality are crucial for primary stability of the implant. And the implant then works like a tenting screw and prevents that the graft material resorbs under the pressure of the Schiederian membrane. The final bone height is about 10 mm.  
 

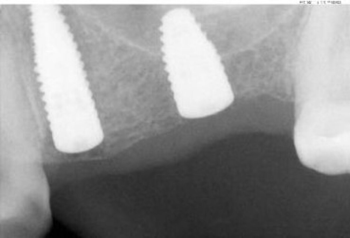
A 73 years old female patient presented after loss of the metal-ceramic bridge in teeth position 24-27, as a result of root vertical at tooth 24. After extraction, tooth 24 and 26 were replaced by bone level implants, while at tooth 24, sinus was simultaneously lifted using crestal approach and Geistlich Bio-Oss® Collagen.

Crestal sinus floor elevation is sometimes considered less predictable compared to the lateral window approach. What is your experience?

I know this objection from many discussions with colleagues. One of the reasons why people do not feel safe when performing a crestal sinus lift is that they have to work “blind” compared to the lateral window approach where they see everything. But in my experience, we have equal or even better level of predictability with the crestal approach. Two aspects are crucial: the piezo surgical instruments that do not damage the structures and the Geistlich Bio-Oss Collagen that can lift the Schneiderian membrane smoothly and without a risk of injury. 
 

What are the main patient benefits of this protocol?

The main benefit of using this protocol for patients is less morbidity after surgery: less swelling, less pain and less discomfort.1 Also, the surgery time is significantly reduced.
 

One main complication in sinus floor elevation is the perforation of the Schneiderian membrane. How does your approach perform in this regard compared to other common methods?

The risk of perforation of the Schneiderian membrane using this approach, compared to other methods is very low.2 We use piezo-surgery to open the cortical bone. Also, the Geistlich Bio-Oss® Collagen becomes formable and easy to apply when it absorbs the blood. That is the key of the success!
 

Do you recommend this protocol to starters?

Of course! The key advantage of this technique is it’s simplicity. I believe every implant dentist will be able to perform it, after learning the protocol. He or she just needs to become familiar with piezo-surgical instruments and with the bone graft material. And, of course, we need to respect the bone quality criteria for implant stability.
 

References

  1. An X. et al.: Clin Implant Dent Relat Res. 2019 Oct;21(5):1054-61. (clinical study)
  2. Zhou X, et al.: Chin J Dent Res. 2017;20(4):211-18. (clinical study)

About the author

Dr. Marjan Gilani | Switzerland

Manager Medical Communications
Geistlich Pharma AG