Soft Tissue Regeneration with Geistlich Fibro-Gide® and REGENFAST®

Multiple recession coverage in the anterior maxilla

Dr. Federico Rivara · Italy
 · September 07, 2023

"I used Geistlich Fibro-Gide® to achieve root coverage in the presence of root abrasions. REGENFAST® played a role in improving soft-tissue healing in particular in the early phase when wound stability is crucial for the success of the treatment."

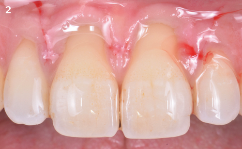
The Situation

A patient (44 years old, male, pipe smoker once a day) with gingival recessions RT-1 on upper central incisors with intact enamel-cement junction. Recession coverage surgery was performed in combination with Geistlich Fibro-Gide®.

About the author

Dr. Federico Rivara | Italy

Clinica Dentale Rivara, Mantova, Italy