Periodontal Regeneration with Pocket-X® Gel

Challenging the limits of non-surgical periodontal therapy

Prof. Dr. Peter Hahner · Germany
 · April 15, 2024

"My initial case series using Pocket-X® Gel has shown significant improvements in probing depths and attachment levels beyond what can be expected from conventional closed therapy."

Clinical Situation

A patient (born in 1990) presented with severe bone loss in multiple areas, a clear indication of advanced periodontal disease. Despite numerous non-surgical interventions, the progression of gum disease remained unabated.

Before the introduction of Pocket-X® Gel, the patient underwent a comprehensive evaluation and treatment, which included non-surgical subgingival debridement. This procedure involves the removal of plaque and tartar from above and below the gum line, a crucial part of periodontal care.

Given the advanced stage of the patient’s periodontal disease, surgical intervention was the typical recommendation. However, the patient opted for a second attempt of non-surgical therapy, with the hope of minimizing the need for surgical treatment.


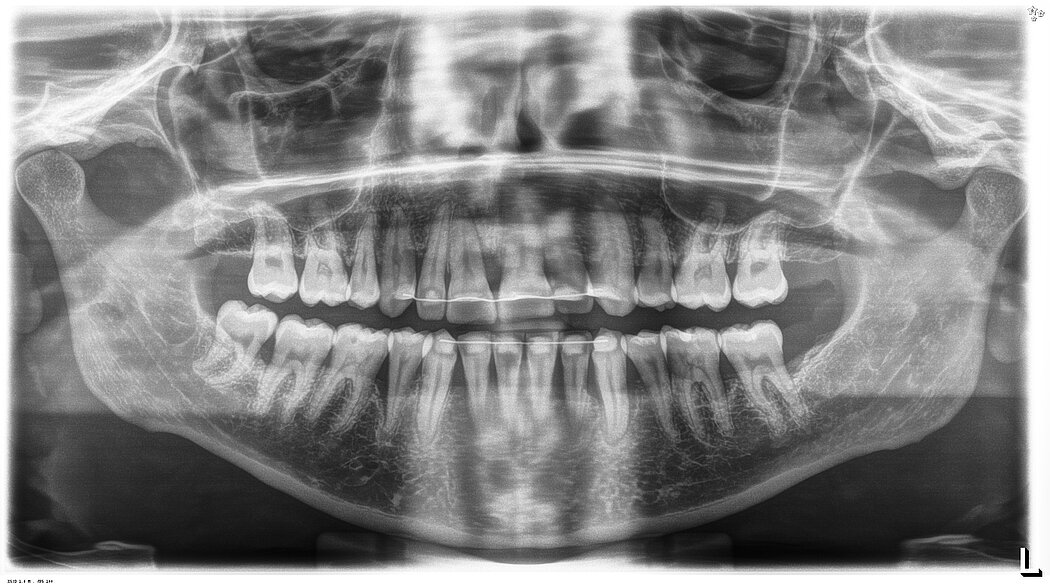
X-ray

Periodontal status before treatment with Pocket-X® Gel

Treatment Protocol

Prof. Hahner emphasizes the importance of a gentle approach during subgingival instrumentation for optimal wound healing, favouring delicate ultrasonic tips and only a minimal use of curettes. This approach caused only minimal bleeding from the periodontal pockets immediately after the deep cleaning procedure.


Atraumatic approach

Outcome

Five months post-treatment with Pocket-X® Gel, the patient’s periodontal health showed a marked improvement. The requirement for surgical intervention was significantly reduced.


Periodontal status after treatment with Pocket-X® Gel

The combination of minimally invasive instrumentation and the hyaluronic acid present in Pocket-X® Gel could potentially redefine the treatment protocols for periodontal disease. It suggests a shift from a sole reliance on non-surgical therapy to a more balanced approach that includes surgical intervention when necessary.

This exceptionally successful case study underscores the potential of Pocket-X® Gel in improving periodontal health and combating periodontal disease. It may open up new avenues for dental professionals seeking alternatives to surgical treatments, thereby expanding the scope of periodontal therapy.

In conclusion, Pocket-X® Gel represents a promising advancement in the field of periodontal therapy. Its potential to improve treatment outcomes while reducing the need for surgical intervention makes it a valuable addition to the dental professional’s toolkit. As we continue to explore its capabilities, we look forward to seeing how it will shape the future of periodontal care.

About the author

Prof. Dr. Peter Hahner | Germany

Professor of Clinical Periodontology and Prevention Management
at EU FH, Practice for Periodontology in Cologne